Home
iJunoon Social Wall
Dictionary
Translate
Transliteration
More
You
Dictionaries
Urdu Dictionary
Punjabi Dictionary
Pashto Dictionary
Balochi Dictionary
Sindhi Dictionary
Saraiki Dictionary
Brahui Dictionary
Names Dictionary
More Dictionaries
Language Tools
Translate
Transliteration
Inpage Converter
Directory
Web Directory
Telephone Directory
Articles
Health
Interesting
Technology
Sports
Gallery
Funny Photos
Photo Comments
Places
People
Facebook Covers
Congratulations
Pakistan
More
Wallpapers
Independence Day
Eid
Ramadan
More
Poetry
Love/Romantic
Sad
Miscellaneous
Friendship
SMS Messages
Funny
Love
Good Morning
Good Night
Friendship
Jokes
Baap or Beta
Miya or Biwi
Ustaad or Shagird
Doctor or Mareez
Larka or Larki
Miscellaneous
Fashion
Women
Men
Mehndi Designs
More
#hashtags
#latestnews
#thisdayinhistory
#cricket
#ReleaseDate
More
HOAX
Quotes
Food Recipes
stories
Archives
Pakistan Flag Display Photo
Categories
Featured Articles
Sports
Interesting
Technology
Health
Tags
Daant
(1)
School
(2)
Naomi watts
(1)
Baseball
(1)
Wife
(57)
Insan
(3)
Haqiqat
(33)
London
(1)
Hacker
(2)
Larka
(1)
Golf
(1)
Quaid e azam
(5)
Sadia imam
(4)
Global warming
(2)
Wasi
(1)
Adnan sami
(1)
Nawaz sharif
(11)
Hollywood
(14)
Altaf hussain
(5)
Punjabi drama
(1)
Archives
Partners
urdu.co | اردو
Junoon.co
Web Jazba
iJunoon
Articles
Health
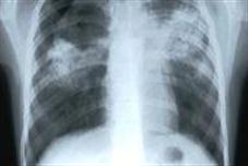
Tip O Diq Vascine Tajarbati Marahil...
تپ دق ویکسین تجرباتی مراحل میں
News Article
Previous
Next
Dec 23, 2016
Posted by:
Ijunoon
Memeber since: Mar 06, 2003
Total Posts: 9958
Apple-iphone
Posted by
mooria ul ain
Posted on : Aug 25, 2015
Random Post
Sponored Video
New Pages at Social Wall
New Profiles at Social Wall
Connect with us
Facebook
Twitter
Google +
RSS
Sponored Video